At Aventis Dental, we offer superior porcelain veneers that are stronger, highly stain-resistant, natural and durable. Applied by the incredible Dr Jonathan Lavington, a UK cosmetic dentist with over 14 years of experience, our porcelain veneers are thinner and uniquely designed and handcrafted.
Based in George Town, Cayman Islands, Dr Lavington can help with partial and full smile makeovers, replacement veneers and any cosmetic emergencies you might encounter.
Key Takeaways

If you’re looking to improve the size, shape, colour or position of your teeth, you’ve found the right cosmetic dentist in George Town that can help. Book a consultation, or call +1 345 746-8555.

To ensure our cosmetic patients receive lifelike, durable restorations, we only work with:
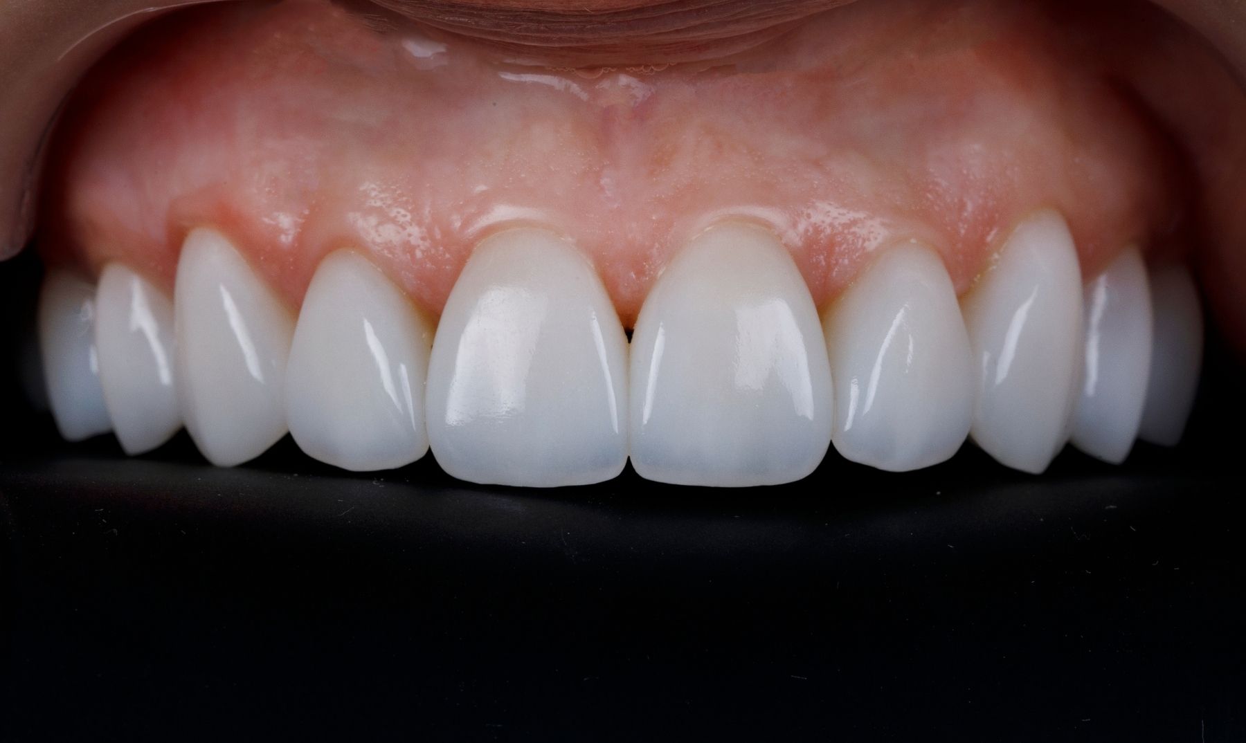
Every porcelain veneer at our dental surgery is handmade by expert ceramists, who hand-paint each layer to achieve natural results, ensuring lifelike translucencies, opacities, micro-textures, and characterisations that mimic the depth and texture of real tooth enamel.

With proper aftercare, maintenance, and regular dental visits, you can extend the lifespan of your veneers to 25 years or more. Veneer patients at Aventis Dental receive a 3-year guarantee on their porcelain veneer treatment and can benefit from comprehensive aftercare support, including access to our hygienists and guidance on keeping their veneers and natural teeth healthy long-term.
When you choose Dr Lavington, you’re choosing a cosmetic dentist who is committed to supporting your oral health well beyond the day your veneers are fitted.
“Dr Jonathan’s skills are unmatched. My only regret is that I didn’t go to Aventis sooner. I highly recommend them.” J. Cayman Islands

The number of veneers you need depends on the patient, the width of their smile, their goals for harmony and symmetry and the number of problem teeth affected. Some patients can opt for two-front teeth veneers, others for a social smile (the visible six teeth), or a full smile makeover, where we’ll apply veneers to both arches.
The number of veneers will be revealed during a cosmetic consultation, where Dr Lavington will sit with you, hear your goals and show you what’s possible – then we’ll be able to price up your smile and quote your treatment accurately.

Porcelain veneers are a great option to correct several smile problems, often all at once. They correct and conceal:

Our veneers are ultrathin, often around 0.3mm for porcelain, which means we can enhance your natural teeth with minimal preparation, saving your teeth from being filed down excessively. Patients can expect a smile makeover process that’s predictable, comfortable and minimally invasive.
Here’s how it all works…
At Aventis Dental, your veneers are designed with precision and planned digitally for complete predictability – this means our patients can see what their new smile will look like before even committing to treatment.
Plus, when you have committed, you’ll get to try them on and wear them for a week to ensure they’re the perfect fit.
We use state-of-the-art digital scanners to create a 3D simulation of your new smile. This allows us to carefully plan the ideal tooth shapes, positions, and proportions and allows patients to see a digital mock-up of what their new smile will look like on their face.
Our dental lab creates a wax-up of your designed smile. From this, we fabricate your Trial Smile, a temporary version of your veneers that fits directly over your teeth. You’ll wear your Trial Smile for a few days to a week. This allows you to:
Because we plan the final smile digitally, most preparations are extremely conservative, and in many cases, the teeth require only slight polishing or sometimes no reduction at all.
Your porcelain veneers are then bonded in place, completing your new smile with strength, precision, and beauty.

The cost of your porcelain veneer treatment will depend on the number of veneers required, the material you choose, whether a full or partial makeover is planned, and the complexity of your smile design. During your consultation, we will provide a tailored treatment plan with clear, transparent pricing. Dental insurance is accepted.

With decades of cosmetic experience and advanced digital technology, you can trust that, with Dr Lavington, your smile is in good hands and that you will explore your material options and find those that suit your lifestyle and budget.

