
We love this case! This lovely male patient was unhappy with the previous colour and shape of his…
Read More

Sometimes patients don’t always need full mouth veneers and they want their smile to be as natural as…
Read More

This young man kept chipping his two front teeth and had had them repaired numerous times with no…
Read More

Dr Jonathan’s patient had been in Invisalign for a long time ago with another dentist and wanted to…
Read More

This is one of our Favourite cases of 2024! This lovely lady came to see Dr Jonathan upset…
Read More

Composite bonding at its finest! Dr Jonathan built up this patient’s lateral incisors using multiple shades of composite…
Read More

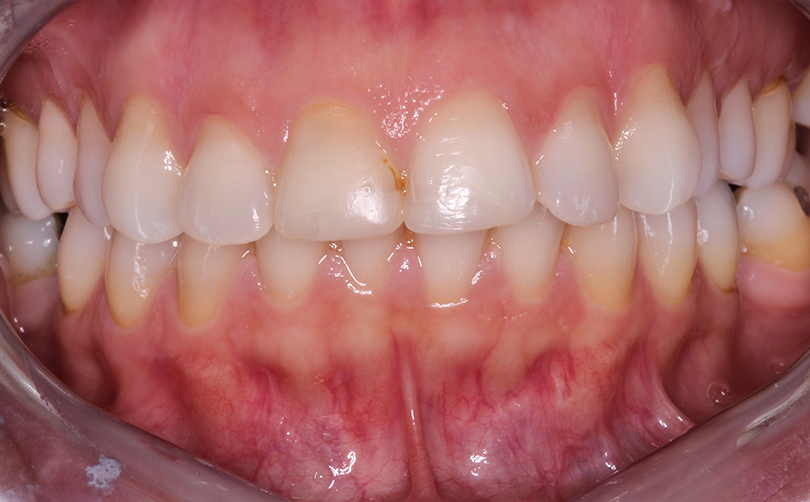
The gum health was firstly restored and the teeth polished and whitened and a perfectly matching porcelain bridge…
Read More

This is Dr Jonathan's composite bonding at its best. The after photo shows a near-invisible filling placed on…
Read More

This is a wonderful example of composite veneers. This patient’s front two teeth had old bonding where the…
Read More

This lovely patient came to see Dr Jonathan in need of a full smile makeover. He stabilised all…
Read More